Врач-стоматолог-терапевт, Врач-стоматолог детский

Врач-стоматолог детской практики со стажем более 15 лет. Применяет комплексный подход, инновационные протоколы лечения, современные технологии с максимальным сохранением витальности (жизнедеятельности зуба).

Закончил ординатуру по детской стоматологии ВГМА (Воронежская Государственная Медицинская Академия) им.Н.Н.Бурденко, повышение квалификации в Израиле.

Составляет индивидуальный план лечения профилактики кариеса и некариозных поражений зубов. В практике ведет командную работу совместно с ортодонтом и смежными специалистами. Считает, что в практике детской стоматологии принцип «primum non nocere/не навреди» превыше всего.

  • Принимает детей с 0-18
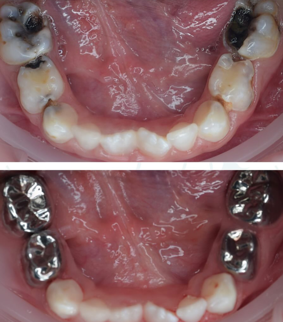
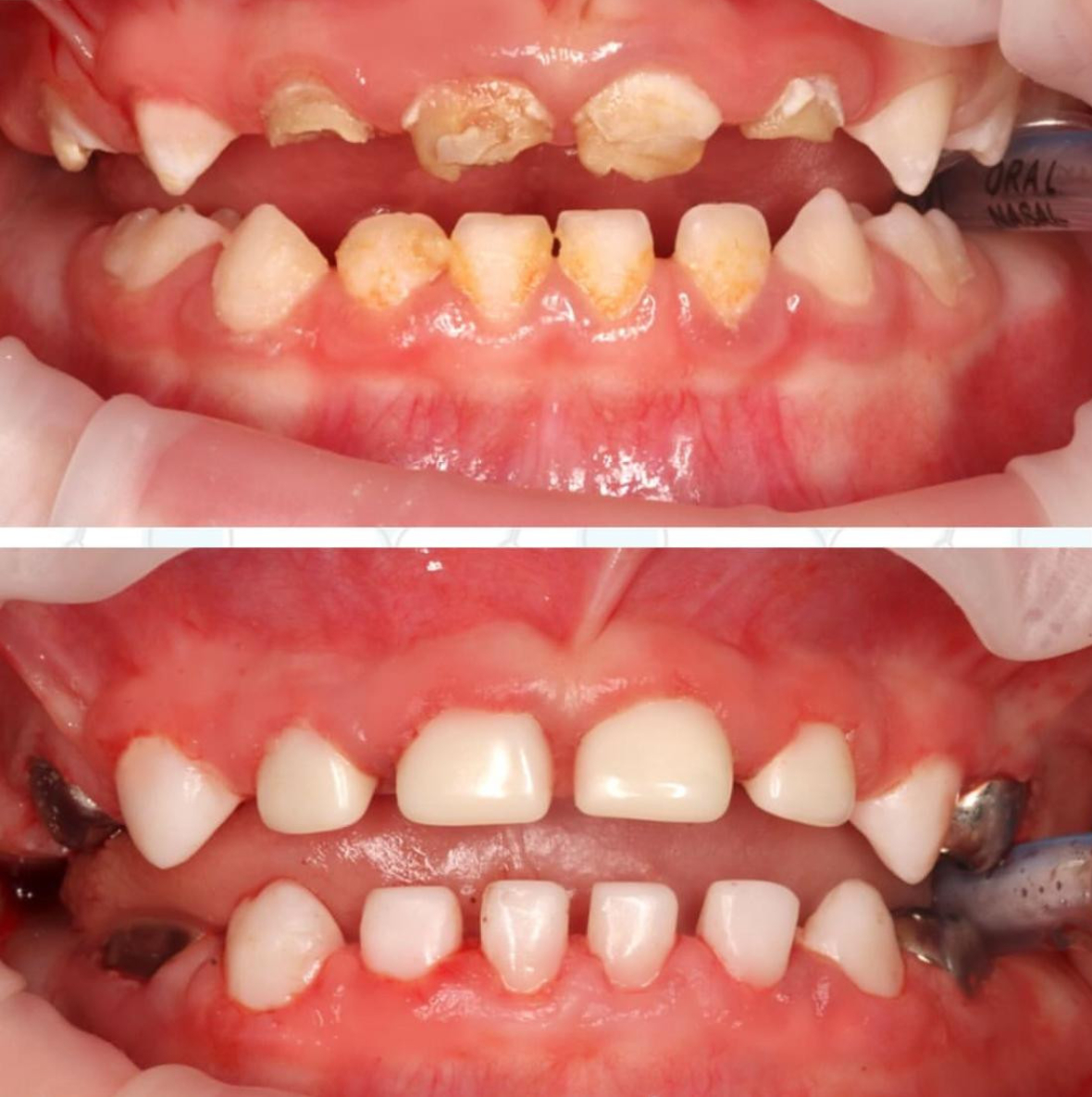
  • Лечение кариеса постоянных и временных зубов
  • Профессиональная гигиена полости рта, реминерализация зубов
  • Инвазивная герметизация фиссур/Rondoflex
  • Лечение пульпита временных зубов
  • Удаление временных зубов
  • Лечение зубов с применением металлических и циркониевых коронок
  • Лечение с применением закись азото-кислородной седации (ЗАКС), с 4-х лет
  • Санация с составлением комплексного плана лечения, в том числе со смежными специалистами под общим обезболиванием

Образование:
2007 г. - Диплом специалиста, врач по специальности «Стоматология», «Воронежская государственная медицинская академия имени Н.Н. Бурденко», г. Воронеж
2009 г. - Диплом о окончании ординатуры по специальности «Стоматология детская», ГОУ ВПО «Воронежская государственная медицинская академия имени Н.Н. Бурденко», г. Воронеж
2009 г. - сертификат «Стоматология детская» «Воронежская государственная медицинская академия имени Н.Н. Бурденко», г. Воронеж
2015 г. - Диплом о профессиональной переподготовке по Стоматологии терапевтической, ГОУ ВПО «Воронежская государственная медицинская академия имени Н.Н. Бурденко», г. Воронеж
2015 г. - Удостоверение и сертификат о повышении квалификации по специальности Стоматология терапевтическая, ГБОУ ВПО «Воронежский государственный медицинский университет имени Н.Н. Бурденко» Минздрава России, г. Воронеж
2015 г. - Удостоверение и сертификат о повышении квалификации по специальности Стоматология детская, ГБОУ ВПО «Воронежский государственный медицинский университет имени Н.Н. Бурденко» Минздрава России, г. Воронеж
2020 г. - Удостоверение и сертификат о повышении квалификации по специальности Стоматология детская, ООО НПЦ ДПО "ЮНЕКОМС, г. Челябинск
2020 г. - Удостоверение и сертификат о повышении квалификации по специальности Стоматология терапевтическая, ООО НПЦ ДПО "ЮНЕКОМС, г. Челябинск

Сертификаты:
- Стоматология детского возраста
- Терапевтическая стоматология
- Организация здравоохранения и общественное здоровье

2015 г. - «Острая боль и рентгенодиагностика» StomPort, Стоматология;
2016 г. - «Закись азотно-кислородная седация на стоматологическом приёме» Dental Education, Стоматология;
2017 г. - «Адгезивные реставрации у детей и взрослых» Dental Education, Стоматология;
2018 г. - «Современные методы лечения кариеса зубов и его осложнений в клинической стоматологии» Dental Education Stom-Academy, Стоматология;
2019 г. - «Протоколы смешанного приема. Взгляд пародонтолога» Dental Ducation Stom-Academy, Стоматология;
2019 г. - «Профилактическая концепция в детской стоматологической практике. Восстановление временных зубов стандартными металлическими и металлокомпозитными коронками» Dental Education, Стоматология;
2019 г. - «Отбеливание зубов, устранение различных форм дисколоритов. Клиническое и домашнее отбеливание» DMG, Стоматология;
2020 г. - «Дентальная фотография от А до Я» Dental Expert, Стоматология

Контактная информация

info@novogilov.ru

+7 (495) 004-01-44
Whatsapp

Мы находимся

Стоматологический центр Бутово
г. Москва, ул. Куликовская, д.7

Мы работаем

Ежедневно с 9 до 21


Акция Отбеливание
×
Запись на консультацию в клинику Online
×

Запись на консультацию



Пожалуйста, заполните требуемые поля